ヒアルロン酸が水分を補い
「アセチルヘキサペプチド-8」がキメを整え、
ハリのあるお肌に導きます。
強力な しわ改善効果
再構築プロセス
・しわの深さは平均で14.8%、最大で52%まで改善。
・しわの量は 平均で17.9%、最大で56%まで改善。
酸性グリコサミノグリカンの増加割合


50ml 16000円(税別)
TEOSYAL
TM
支持組織を形成するグリコサミノグリカンやコラーゲン線維の合成を促進する事により、肌の改善したい部位を再構築する細胞活性作用。
この総合的なアンチエイジング作用はしわの改善に顕著な効果があります。

当日
42日後
一日2回使用

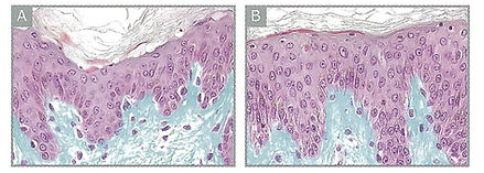
ヒト皮膚培養組織の表皮構造における再構築作用の診断検査
未使用(9日後)
TEOSYAL使用(9日後)
しわの改善及び水和力に関する客観的評価
TEOSYALの使用により、コラーゲンネットワークは密になっています。
・成長因子を活性化する中性アミノサミノグリカン
・III型コラーゲン
の高レベルな発現がみられました。
真皮乳頭層における酸性グリコサミノグリカンにより占められる切片表面の割合

TEOSYALの9日間使用により、酸性グリコサミノグリカンの高レベルの発現(55%)がみられました。
グリコサミノグリカンの増加は大量の水分を保持することができ、肌のハリと弾力を生みます。
フリーラジカル及びDNA編成に対する防御 / 予防作用
紫外線A波(UVA)、B波(UVB)照射により引き起こされるフリーラジカル及びDNA劣化に対する防御/予防作用の評価

表皮cmあたりのカスパーゼ-3陽性細胞数
カスパーゼ-3の発現を抑制することにより、DNA断片化を予防(DNA劣化を防御)することができます。

培地中のマロンジアルデヒド(MDA)
脂質が酸化されて生成す るマロンジアルデヒド(MDA)量が減少し、抗酸化作用が得られます。
4MD前後の紫外線量に対する抗ラジカル効果(抗酸化作用)を有します。
紫外線誘起によるDNA劣化を予防します。

最適な皮膚の落屑及び水和作 用
落屑及び水和作用における有効性の客観的評価

Diagnoskin system. における生化学的落屑の変化
コルネオメーターを用いた水和作用の評価
TEOSYALの一日2回 /42日間使用により、
落屑において17%の改善
皮膚の水和作用において31%の改善がみられました。
【有効成分】
・ヒアルロン酸ミクロフェア
→表皮における高レベルの水和作用。
・細胞外基質分解産物
→強力なしわ改善効果。
・アルレジリン
→筋肉の収縮により生じる顔(額、目尻)のしわの改善。
・カプセル化ビタミンC
→細胞の脂質構造を保護する抗酸化作用。
【使用方法】
朝と夜に、顔、首、デコルテ部分にご使用ください。
【全成分】
水(カプリル/カプリン酸)、ヤシアルキル、グリセリン、ベンチレングリコール、ホホエバステル、スクワラン、(C12-16)アルコール、メドウフォームエストリド、シア脂、ヒドロキシエチルウレア、水添レシチン、バルミチン酸、ステアリン酸グリセリル、ステアリン酸PEG-100、アンマロク果実エキス、ジメチコン、パルミチン酸エチルヘキシル、BG、ポリソルベート80、トロメタン、酢酸トコフェロール、クロルフェネシン、香料、(アクリル酸ヒドロキシエチル/アクリロイルジメチルタウリンNa)コポリマー、EDTA-2Na、パジナパポニカ葉状体エキス、リン酸アスコルビルMg、PG、カルポマー、ジメチルシリル化シリカ、ポリソルベート10、キサンタムガム、カプリリルグリコール、イソステアリン酸ソルビタン、ポリソルベート60、ローカストビーンガム、ヒアルロン酸Na、アセチルヘキサペプチド-8、パルミトイルオリゴペプチド、パルミトイルテトラペプチド-7
価格等 お問い合わせ : 052-262-2030
電話受付時間 10:00 〜 20:00
毎週火曜日休診
